|
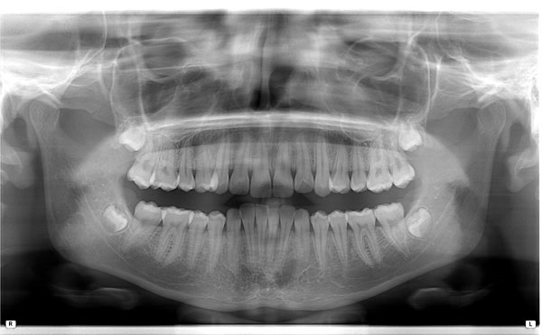
Панорамна снимка
![]() |
Панорамна снимкаРегистрира общото състояние на съзъбието и пародонта. Чрез нея се прави план за лечение и различни контроли. Ползва се и в имплантологията. Детска панорамна снимкаРегистрира общото състояние на съзъбието, наличие на зародиши, аномалии. Чрез нея се прави ортодонтско планиране за корекция на захапката. ТелерентгенографияСнимка в профил на лицевия череп. Използва се за анализ на захапката. СинусиПредава детайлна информация за състоянието на синусите. ОртосинусиСнимка на максиларните синуси за целите на денталната медицина. Снимка на темпоро-мандибуларните ставиИзползва се за оценка на промени в челюстните стави. |






